By
Dr Indraneel Das Gupta
Dr Sourabh Pathak
Abstract
Dr Indraneel Das Gupta
Dr Sourabh Pathak
Abstract
Heamorrhagic complications of
Snake bite are well known but thrombotic stroke following
snake bite is a very rare occurrence with very few reported cases .
We came across one such rare case of thrombotic stroke in
the Emergency Department of Peerless Hospital and B C Roy Research Centre .
With this case report we will briefly
discuss about various aspects of Thrombotic Stroke following snake bite .
Case Report
On 24-07-2013 a 42
year old man was received in the Emergency Department (ED) of Peerless Hospital
and B.C. Roy Research Centre .
The case will be
described as per our Emergency Department case
management protocol
The Primary ED Survey was remarkable for a airway full of secretions , with bilateral crepts present and a GCS of E 2 M 4 V 2(ie8/15) , with left hemi paresis ,B/L plantar flexor , Pupilary reaction present
¨ Exposure
: A small abrasion in right lateral
aspect of forehead , no other signs of injury found
BP 140/80 mmHg , HR 90/Min , Spo2 88%, RBS 160 mg/dl , Temp 98 F
Action :
Oxygen started at 6l/min via face mask Rapid Sequence Intubation done to secure the Airway.
Oxygen started at 6l/min via face mask Rapid Sequence Intubation done to secure the Airway.
AMPLE History
Allergies : None ,
Medications (past ) None ,
Past Medical History : None
Medications (past ) None ,
Past Medical History : None
Last Meal : Approximately one day ago
,
Events leading to the incident : The incident occurred in a village in Burdawn
District one day ago(ie 23/7/13) at
about 10 AM .The patient who was a
farmer was about to climb a mango tree then he was bitten by a big “Chandra
bora” Snake .(local Bengali name for
Russel’s Viper ).
Events following the Bite are illustrated below
along with the time of each significant event (please see discussion for
the
23 /7/ 13 10AM Bite by Russel Viper -à Ran for Help and reached a friend in 10 minutes
and said that he has been bitten by a Russel’s viper snake while describing the event and planning what
to do( 20 minutes ) the patient developed drooping of eye leads and then
slurring of speech and the patient got semiconscious (as per description GCS
appeared to be E 3 M5 V 3 ) → Villagers
came for help ambulance called
23/7/13 11:30 AM Ambulance came and the patient was
transferred to the local Primary Health Center(PHC) without any tourniquet or
pressure bandage . In the PHC the patient was given 10 units of Anti Snake
Venom and referred to a tertiary center in Kolkata ( approximately 100 km away
)
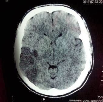
23 /7/ 13 6PM Patient
arrived at MS Bangur Institute of Neuro Sciences (a tertiary center in
Kolkata ) where a CT Scan of brain was done(See CT plate below ) was done and
for some reason the patient was referred to another center at about 11 PM .The patient moved to various hospitals and ultimately came to ED of Peerless
Hospital at 11 AM 24 /7/13 during the time of presentation GCS was E 2 M 4
V 2
Following this Secondary survey was carried which was
significant for
1 left sided Hemiparesis
2 Small aberration 3 cm in forehead
3 A alleged Fang mark
in Left foot (The small black mark
surrounded by circle )
CT Brain taken at MS
Bangur Hospital one day ago
Other Reports done at ED Peerless Hospital :
20 Minutes Whole
Blood test – Negative ,
Hb 11 , TC 8000 , platelets 1,50,000 ,
Na 138 , K 4.5
Hb 11 , TC 8000 , platelets 1,50,000 ,
Na 138 , K 4.5
PT 11 , INR 0.8 ,
Cr 1.4 Urea 35 ,
Urine output : 400 ml in 4 hours
Cr 1.4 Urea 35 ,
Urine output : 400 ml in 4 hours
Management :
Management was supportive and Monitoring carried out
in the Resuscitation Bay of the ED
with IV fluids and ventilator
management .But in spite of our best efforts
the patient died after 8 hours of arrival to the ED .
Discussion :
From the description of the case it appears to be that this
is a snake bite by Russel’s Viper which resulted to a large cerebral
infract and ultimately death of the
patient . Venomous Snake bites has been traditionally classified into neurotoxic and heamatotoxic though their cardiotoxic , local necrotic effects
and anti endothelial effects are well
known . However prothrombotic effects of
venomous snakes specially cerebral
infracts are very rarely reported in
medical literature . Our case appears to be one of the rarest of the rare case
.
Our review of medical literature revealed that till date
there are only 10 cases of cerebral infract reported in medical literature .
Reported by
|
Year
|
Snake
|
2012
|
Thalamic infract by Russell’s Viper
|
|
2012
|
Cerebellar infract by Russell’s Viper
|
|
2011
|
Cerebellar and occipital infract by Russell’s
Viper
|
|
2009
|
Left MCA territory infract by Russell’s Viper
|
|
2009
|
Bilateral Ant cerebral Artery by Viper
|
|
2008
|
Bilateral cerebellar and right occipital infarction |
|
2002
|
Multiple cerebral infract by Bothrops caribbaeus, a species of the Bothrops complex, is found only in the island of Saint Lucia, West Indies. |
|
2000
|
Left frontal infract by viper |
|
1997
|
Cerebral infract by Viper |
|
1985
|
Left cerebral infract by carpet viper (Echis carinatus) |
NB
¨
MOSQUERA
et all studied 309 patients with complicated Snake Bite ..8 had CVA only one
had Infract .
¨
There
are also several reported cases of myocardial infraction and one reported case
of intestinal infract following viper bite .
Mechanism
The probable mechanism that is generally given
to explain cerebral infract following snake bite are interplay between three
pathological processes namely Hypovolumia , hypercoagulablity and
Vasculitis with vasculitis being the
major process initiating a cerebral infract
.
¨
Hypovolumia due to snake bite may caused by Vomiting , Sweating and
bleeding which leads to a low flow state in the coronary arteries – however
this doesn’t appear to be present in our case .
¨
Hypercoagublity
is casused by procoagulants in
Venom like Arginine,Esterase and
Hydrolase
¨
Vasculitis
which appears to be the major contributing
factor in our case is thought to be caused by Hemorrhagins : component
mediated Toxic component of viper Venom which leads to vascular spasm,
endothelial damage and increased permeability contributing to vessel occlusion
ultimately
leading to Infract.
These three mechanisms appear to expain the classical virchow's triad which describes the three broad categories of factors that are thought to contribute to thrombosis.:Hypercoagulability ,Hemodynamic changes (stasis, turbulence) , Endothelial injury/dysfunction.
leading to Infract.
These three mechanisms appear to expain the classical virchow's triad which describes the three broad categories of factors that are thought to contribute to thrombosis.:Hypercoagulability ,Hemodynamic changes (stasis, turbulence) , Endothelial injury/dysfunction.
It should be noted that had the patient got
pressure bandage at an early stage and had the patient be transported earlier
to Primary health care centre as suggested by WHO guidelines this event could
have been prevented .
Conclusion
Cerebral infraction can be a rare complication of
snakebite .




No comments:
Post a Comment